
안녕하세요.
항상 반려동물의 건강을 위해 365일 야간 및 일요일 진료제를 시행중인 부산 사직동물병원입니다.:)
오늘은 저희 병원에서 암캐 ‘난소종양+자궁축농증’ 치료를 받은 환자의 사례를 살펴보겠습니다! 01. 환자정보 및 주증상명: 나이: 17세 연령체중: 2.4kg 견종 및 성별: 푸들/암 중성화 여부: 시행하지 않는다.
환자는 내원 당시 기력 저하와 함께 1개월 전부터 생식기 분비물 증상이 있었습니다.02. 검사에서 가장 먼저 간단한 신체검사로 심폐음이 양호한 것을 확인하고,

혈액검사상으로는 CRP(전신염증반응 수치), WBC의 거센 상승을 보였고, 더욱 정밀한 검사를 위해 영상검사를 시행하였습니다.


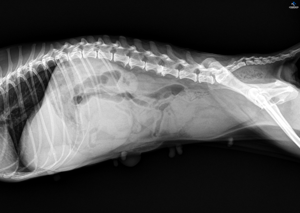
x선상에서 복강 내 mass 음영과 자궁확장을 볼 수 있으며,


US에서 왼쪽 난소 mass를 확인했습니다.03. 진단 및 치료계획위 결과를 종합해 본 결과 자녀의 자궁축농증 및 난소종양, 제대탈장을 진단하고 보호자와 상담 후 난소자궁적출술(OHE) 및 탈장교정을 시행하기로 하였습니다.04. 수술에 들어가기 전 2차 감염에 대비하여 주위의 털을 모두 사모한 후 소독하고 수술을 시작했습니다.

수술 전 아종양을 육안으로도 확인할 수 있습니다.

수술을 통해 탈장교정을 하는 모습입니다.

탈장 교정 후 확장된 난소와 자궁을 적출하여 수술을 마쳤습니다.05. 수술 후 경위수술을 성공적으로 마친 후 패혈증으로 진행 시 예후가 불량해질 수 있으므로 2일간 입원하여 CPR 감소를 확인한 후 퇴원하였습니다.

- CPR 정상범위 : 0-10(mg/L) 288.58-> 134.96-> 83술 후 7일 아* 경과확인 결과 * CRP 정상범위 : 0-10(mg/L) 13, 술부와 식욕, 활력 등 모두 양호함을 확인치료를 마쳤습니다.06.난소종양과 중성화

그림 1 난소 종양은 중성화되지 않은 암컷에게 많이 발생하는 것으로 알려져 있습니다.

그림 2 난소 종양의 종류로는 난소 내에서 유래한 세포의 기원에 따라 위 그림 2와 같이 분류되며, 많은 경우 악성(암)에 해당합니다.
대부분 무증상이지만 일부 난소종양의 경우 스트로겐과 프로게스테론을 생성하므로 이와 관련된 증상, 즉 외음부부종, 질분비물, 지속적인 월경과 발정, 자궁축농증 외에도 식욕부진, 체중감소 등의 증상을 보입니다.
촉진, 엑스레이, 초음파, 혈액검사 등을 통해 난소종양을 진단할 수 있으며 난소종양의 종류를 파악하기 위해서는 조직검사가 필요합니다.
난소종양 치료는 전이(metastasis)가 없으면 난소자궁적출술(OHE)이 권장되며, 전이가 확인된 경우 화학요법이나 방사선 치료가 가능하나 대부분 예후가 불량하므로 최초 발정 전 중성화를 통해 질병을 예방하는 것이 좋습니다.그림 출처 http://vcahospitals.com/know-your-pet/ovarian-tumors2.Cysticovariesandovarianeoplastomawithdysgerminomaovergrowth:acasestudyandliteraturereview※참고 문헌 1.CysticovariesandovarianneoplasiainthefemaledogsystematicreviewBySPArlt, PHaimerl.ClinicforAnimalReproduction, FreeUniversityofBerliversityofBerlian, Bl Tumors By Debbie Stoewen DVM, MSW, RSW, PhD;Christopher Pinard, DVM
지금까지 암견 난소 종양+자궁 축농증 치료 사례를 살펴봤습니다.
자궁축농증+난소종양과 같은 생식기 관련 질환은 주로 중성화를 하지 않은 경우, 출산 경험이 없는 경우, 면역력이 약해진 경우 등 주로 발생하는 질병입니다.
예방을 위해서는 항상 반려견 면역력 관리를 위해 집안의 습도를 50~60%로 조절하고 주기적인 환기를 통해 쾌적한 환경을 만들어 주실 것을 권장합니다.가장 좋은 방법은 세균 침입이 쉬워지는 발정기 이후에 질환 발병률이 높으므로 가능한 어린 시기에 미리 예방 차원에서 중성화 수술을 해주시는 것이 좋습니다.저희 부산 사직동물병원에서는 신뢰할 수 있는 마취 및 치료 시스템으로 체계적인 중성화 수술이 이루어지고 있으니 궁금한 사항이 있으시면 언제든지 문의하시기 바랍니다.^^ 이상 학부모님의 소중한 반려동물을 위해 항상 정직한 동물병원이 될 것을 약속드리는 부산 사직동물의료센터였습니다.감사합니다。

부산광역시 동래구 아시아드대로 209 지연아이니드빌딩 2층